歯の矯正でこんなお悩み
ありませんか?
- 矯正器具が目立つとイヤ
- お手入れが大変そう
- 金属アレルギーが心配
- 治療費はどれくらい?
- 私の歯並びが治るか不安
イクティス歯科クリニックの矯正治療で
そのお悩み解決!
-
矯正器具が目立つとイヤ
目立ちにくい矯正治療
-
お手入れが大変そう
取り外しでき、衛生面も安心
-
金属アレルギーが心配
金属を使わない治療も選べる
-
治療費はどれくらい?
患者様に寄り添う料金プラン
-
私の歯並びが治るか不安
詳しい検査と治療計画
電話・Web・LINEで
最適なお時間をご案内
当院では患者様のご都合にあった方法で、予約のご案内をいたします。お気軽に問い合わせください。
ドクター紹介
- イクティス歯科クリニック
- 副院長 矯正医江藤 沙織
- イクティス歯科クリニック
- 副院長 矯正医江藤 沙織
患者様に寄り添い、
お口の健康改善に努めます!
イクティス歯科クリニックはお口の悩みだけでなく、子育てや色々なことをお話できるアットホームなクリニックです。みなさまとの一期一会を大切に、できるだけ痛みや不安を減らし、安心して通っていただける心地の良い場所になれるよう、努力します!
イクティス歯科クリニックの矯正治療は様々な歯並びに対応可能
-
叢生
デコボコな歯並び
-
出っ歯
上の歯が前に出ている
-
受け口
下の歯が前に出ている
-
すきっ歯
歯間に隙間がある
-
開口
前歯が閉じられない
-
過蓋咬合
噛み合わせが深い
当院が選ばれる
5つの理由
-
患者様に寄り添い、
その人に合ったプラン提案歯列矯正といっても、様々な治療方法があります。当医院では患者様に安心して医療を提供できますよう、時間、費用、期間等、一人一人に合ったプランを説明し、患者さんに選んで頂きながら診療をしていきます。
-
矯正担当の
女性歯科医師による
きめ細やかな治療矯正担当の女性歯科医師が患者様の治療にあたります。少しでも気になることがあればお気軽にご相談ください。
-
できる限り
抜かない治療できるだけ歯を抜かないように治療計画を立案します。
-
CTによる
正確な診断に努めますCTを使用し患者様の状態をできる限り正確に判断いたします。
-
虫歯や抜歯などの
総合的な治療も可能抜歯やむし歯の治療が必要になった場合は、当院で治療を受けていただけます。
マウスピース矯正と
ワイヤー矯正の違い
| 通院回数 | 1,2ヶ月に1回 |
|---|---|
| 食事 | 外せる |
| 歯磨き | 外して通常の歯磨き |
| 痛み | 少ない |
| 金属 アレルギー |
なし |
| 治療の対象 | システム上はすべての症例対応だが、症例により向き不向きがある |
| 治療期間 | 1〜3年 |
| 通院回数 | 毎月 |
|---|---|
| 食事 | 外せない |
| 歯磨き | 装置の周りの清掃が難しい |
| 痛み | 強く締め付ける痛み |
| 金属 アレルギー |
可能性あり |
| 治療の対象 | システム上はすべての症例対応だが、症例により向き不向きがある |
| 治療期間 | 1〜3年 |
あなたはどちらの矯正治療を
選びますか?
マウスピース矯正治療
従来のワイヤー矯正と比べ、
マウスピース矯正治療は
『いつも通りの生活を送りたいけど、
しっかりと歯並びを治したい』と
お悩みの患者様にぴったりな矯正方法です。
マウスピース矯正の2つの特徴
-
目立ちにくい
マウスピースは透明に近く目立ちにくいので、装着しているしているかどうかほとんど分からず、見た目によるストレスを感じさせません。
-
口腔内トラブルが少ない
ワイヤーやブラケットを使用しないため、口の中の違和感が少なく、矯正装置が外れてしまう等のトラブルの可能性も少なくなります。
当院のマウスピース矯正治療
透明で、取り外しのできる
歯科矯正システム
当院では透明で、取り外しのできる歯科矯正具「マウスピース矯正」による矯正治療を提供しております。
米国アライン・テクノロジー社が開発したマウスピース型矯正治療は目立ちにくい、透明に近い、取り外しが可能な矯正器具で、1999年より現在、世界100カ国以上の国々で提供され、これまでに1400万人を超える方々に選ばれています。
iTeroを使用した
高度でスピーディーな治療
iTero(アイテロ)とは、目立たないマウスピース矯正「インビザライン」の制作に欠かせない歯型を取る光学式口腔内スキャナー(3Dスキャニング機器)です。iTeroの導入により患者さんの治療開始までの期間短縮や、余計なコストが削減できるようになったため、患者さんにとって多くのメリットを創出することができました。
- 印象材を使用しての歯型採りが不要
- その場で確認できるので再度来院する必要がない
- スキャニングした歯型はデータ送信するので装置到着が早い
インビザラインと
他のマウスピース矯正の比較
| 治療範囲 | 前歯だけ〜全体と幅広く対応 |
|---|---|
| シェア | 1400万超 |
| 装着しやすさ | 取り外ししやすい |
| 治療範囲 | 全体 |
|---|---|
| 型取り頻度 | 2〜3ヶ月に1回 |
| シェア | 約100万 |
| 装着しやすさ | 装着感が固く外しづらい |
| 治療範囲 | 主に前歯上下 |
|---|---|
| 型取り頻度 | 都度または、3回ごと |
| シェア | 約4,000 |
| 装着しやすさ | 取り外ししやすい |
マウスピース
矯正治療の流れ
マウスピース
矯正治療の費用
初診・相談料無料
※検査・治療費は保険適応外
マウスピース矯正
| マウスピース矯正検査料 | 33,000円(税込) |
|---|---|
| マウスピース(全顎矯正) | 770,000円(税込) |
| マウスピース(部分矯正) | 275,000円〜660,000円(税込) |
その他
| 矯正処置料(1回) | 5,500円(税込) |
|---|---|
| マウスピース型矯正装置再製作料 | 22,000円〜55,000円(税込) |
| ビベラリテーナー(上下1セットずつ) | 33,000円(税込) |
デンタルローン料金表(例)
| 1回目 | 2回目以降 | |
|---|---|---|
| 通常価格 | 825,000円 | --- |
| 60回払い | 20,180円 | 15,800円 |
| 30回払い | 29,877円 | 29,600円 |
| 15回払い | 57,857円 | 57,100円 |
| 10回払い | 84,810円 | 84,700円 |
| 6回払い | 140,025円 | 139,800円 |
| 3回払い | 277,802円 | 277,600円 |
電話・Web・LINEで
最適なお時間をご案内
当院では患者様のご都合にあった方法で、予約のご案内をいたします。お気軽に問い合わせください。
ワイヤー矯正治療
ワイヤーを使用し歯を動かしていく治療法です。
当院のワイヤー矯正治療
大人の矯正治療
永久歯に生え代わり、歯並びに不正のある場合、おとなの矯正治療を行います。
こどもの矯正では、主に顎を広げたり成長をコントロールするための治療を行いますが、おとなの矯正では顎の成長はほぼ終了しているため、歯一本一本にブラケットと呼ばれる矯正装置を付け並べてゆきます。
見た目に配慮した矯正治療
目立ちにくい表側矯正
表側の矯正の場合でも当院では透明な装置を使用し、目立ちにくいように行なっております。
- 唇側からの装置の中では目立つことを抑えることが可能
- 唇側からの矯正方法なので適応症例の範囲が広い
- 舌側装置と比べ、装置装着後の違和感が少ない
プラスチックブラケット
目立ちにくいが歯より柔らかい素材のため、かけることもある。金属に比べコントロール性は弱い。
子どもの矯正治療
小児歯列矯正では、大人の矯正のように負荷をかけて動かすというよりは、顎の成長をコントロールし、適正な永久歯の歯並びに整えていくことを目標に行います。また、乳歯から永久歯に生え換わる時期でもあるので、それをふまえた上で、矯正治療を行うことが大切です。
咬合誘導に使用する
矯正装置
-
筋機能矯正装置
上下顎の成長発育をコントロールして顎の前後的位置関係の不正を改善する装置です。就寝時、半年~一年程度使用していただきます。乳歯が多数残っているお子様の場合、この装置だけで受け口が改善し本格矯正が必要でなくなることもあります。
-
3D リンガルアーチ(咬合誘導全期)
主に 6 歳臼歯のコントロールに使用。いろいろな症例に応用可能で、舌側装置のため外からは全く目立ちません。
-
3D クワドへリックス(咬合誘導後期)
上顎の緩徐な拡大に有効。横幅の改善に使用。外からは全く目立ちません。
ワイヤー
矯正治療の流れ
ワイヤー矯正治療の費用
初診・相談料無料
※検査・治療費は保険適応外
小児矯正・小児予防矯正
| 検査・診断料 | 33,000円(税込) |
|---|---|
| 矯正基本料(1期治療)乳歯から永久歯に生え変わる時期の矯正治療 | 396,000円(税込) |
| 矯正基本料(2期治療)永久歯が生えそろってから行う仕上げ治療で、第1期治療を終えた患者様が必要な場合に行う | 451,000円(税込) |
| 矯正処置料(1回) | 5,500円(税込) |
成人矯正
| 検査・診断料 | 33,000円(税込) |
|---|---|
| 成人矯正永久歯が生えそろった状態で行う矯正治療 | 847,000円~957,000円(税込) |
| ワイヤー部分矯正 | 220,000円〜440,000円(税込) |
| 矯正処置料(1回) | 5,500円(税込) |
その他
| 矯正処置料(1回) | 5,500円(税込) |
|---|---|
| 再製作料装置の破損、紛失により再製作が必要な場合 | 22,000円(税込) |
| 修理料 | 5,500円(税込) |
デンタルローン料金表(例)
| 1回目 | 2回目以降 | |
|---|---|---|
| 通常価格 | 825,000円 | --- |
| 60回払い | 20,180円 | 15,800円 |
| 30回払い | 29,877円 | 29,600円 |
| 15回払い | 57,857円 | 57,100円 |
| 10回払い | 84,810円 | 84,700円 |
| 6回払い | 140,025円 | 139,800円 |
| 3回払い | 277,802円 | 277,600円 |
電話・Web・LINEで
最適なお時間をご案内
当院では患者様のご都合にあった方法で、予約のご案内をいたします。お気軽に問い合わせください。
矯正治療症例
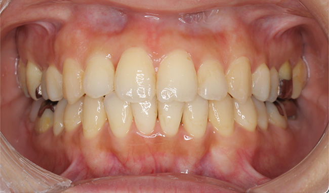
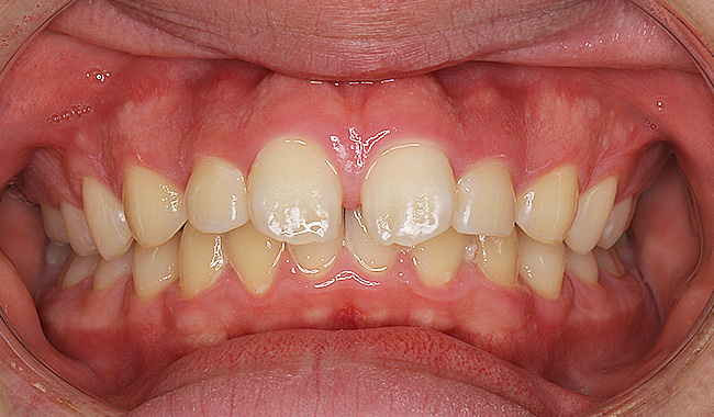
インビザライン治療症例1
| 主訴 | ガタガタを治したい |
|---|---|
| 費用 | 810,000円(税込) |
| 治療期間・回数 | 2年10ヶ月(34回) |
| 治療内容 | マウスピース型矯正装置で歯ならび、咬み合わせを改善し治療を完了しました。 |
| 副作用・リスク | 疼痛、咬合時痛、知覚過敏、歯根吸収、歯肉退縮が生じる可能性があります。 |
インビザライン治療症例2
インビザライン治療症例3
インビザライン治療症例4
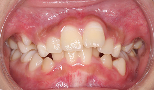
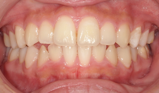
| 主訴 | 叢生・出っ歯を治したい |
|---|---|
| 費用 | 825,000円(税込) |
| 治療期間・回数 | 1年3ヶ月 |
| 治療内容 | マウスピース型矯正装置で歯ならび、咬み合わせを改善し治療を完了しました。 |
| 副作用・リスク | 疼痛、咬合時痛、知覚過敏、歯根吸収、歯肉退縮が生じる可能性があります。 |
小児矯正治療症例
| 主訴 | 前歯が出ていて全体的に歯並びが悪い |
|---|---|
| 費用 | 324,000円(税込) |
| 治療期間・回数 | 2年6ヶ月(30回) |
| 治療内容 | 3Dリンガルアーチ(舌側のワイヤー装置)およびマウスピース型機能的矯正装置にて 歯ならび、咬み合わせを改善し一期治療を完了しました。 |
| 副作用・リスク | 疼痛、咬合時痛、知覚過敏、歯根吸収、歯肉退縮が生じる可能性があります。 |
